The Brigham and Women’s Hospital (BWH) Immunology and Allergy team provides expert diagnosis, evaluation and treatment for adult, adolescent and pediatric patients with immune and allergic diseases. All of our specialists are certified by the American Board of Allergy and Immunology, and many are sub-specialists in internal medicine, pediatrics, pulmonary diseases and dermatology. Understanding that allergies and immune disorders can affect many systems in the body, our clinicians also partner with specialists throughout BWH to provide each patient with appropriate, comprehensive care.
In our team-based care clinics, our clinicians work collaboratively with specialists throughout Brigham and Women’s Hospital to provide each patient with multidisciplinary care for complex diseases.

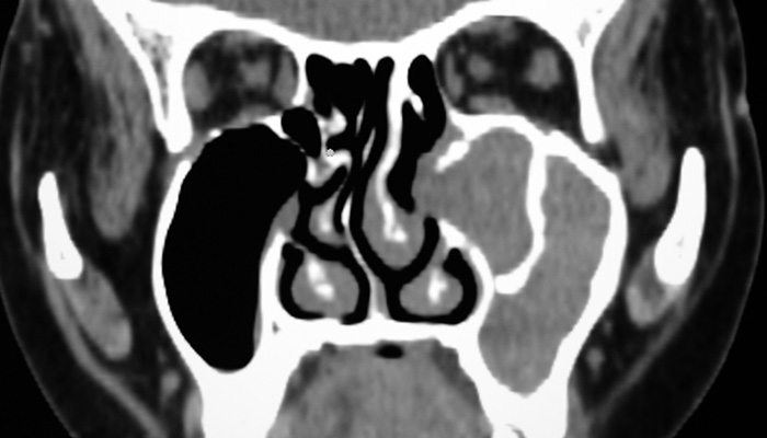
The Brigham and Women’s Aspirin-Exacerbated Respiratory Disease (AERD) Center is a research and patient-care group that is focused on discovering new treatments for the disease, understanding how aspirin desensitization works, and investigating the underlying causes of AERD.

Aspirin and non-steroidal anti-inflammatory drugs (NSAIDs) are commonly used to treat conditions such as pain, fever, inflammation of the joints, or heart disease. Brigham and Women’s Hospital (BWH) offers a unique program to evaluate and treat patients with aspirin and NSAID allergies.

The Drug Hypersensitivity and Desensitization Center serves patients with drug allergy, providing them with the opportunity to receive the first-line treatments that are essential to their medical care.

The Brigham and Women’s Hospital Food Allergy Center is a patient-care and research group that is focused on bringing new treatments and diagnostic strategies to patients with food allergies

The Immune Deficiency Program is a research and patient-care group of allergy and immunology experts devoted to advancing the health of patients with primary and acquired immune deficiency.

Mastocytosis Center at Brigham and Women’s Hospital has been providing care for adults and children with mast cell activation disorders for over 20years.It is one of a select group of academic centers to care for patients with mastocytosis and mast cell activation syndromes

The Brigham and Women’s Hospital Multidisciplinary Sinus Group is a research and patient-care team focused on the diagnosis and treatment of sinus disease. Our multidisciplinary team is made up of allergists, ENT surgeons, and research scientists who work towards the common goal of understanding and managing chronic sinus disease

The Brigham and Women’s Hospital Severe Asthma Program, part of the Mass General Brigham Asthma Center, provides state-of-the-art diagnostic and therapeutic options to improve the respiratory health of patients with severe asthma
A clinical trial is a carefully controlled study of the safety and effectiveness of a medical treatment, strategy, device or other intervention for humans. By participating in a clinical trial, which is strictly voluntary, a patient may help researchers discover a new life-saving medication or surgical procedure.
Below is a listing of open research trials in immunology and allergy at Brigham and Women’s Hospital. Click on a disease or condition to be directed to study details and enrollment information.
For over a century, a leader in patient care, medical education and research, with expertise in virtually every specialty of medicine and surgery.
About BWH