Glioblastoma

Glioblastoma is one of the most aggressive types of brain cancer, known for its ability to grow rapidly and invade surrounding tissues. While this diagnosis has historically been associated with poor outcomes, advances in research and treatment are now improving the prognosis for many patients. The Dana-Farber Brigham Cancer Center’s Center for Neuro-Oncology is a leading hub for brain tumor treatment, where over 1,000 patients are seen each year. At Brigham and Women’s Hospital, we collaborate closely with the Dana-Farber Cancer Institute as part of the Dana-Farber Brigham Cancer Center to offer patients the latest treatment options and personalized care.

Our multidisciplinary team includes experts in neurosurgery, radiation oncology, medical oncology, and supportive care, all focused on managing complex brain cancers. Using the principles of precision medicine, we offer targeted therapies based on the specific characteristics of each patient’s tumor. This collaborative approach ensures that every patient receives the most effective treatments available, with careful attention to their individual needs and well-being throughout the entire process.

What Is Glioblastoma (GBM)?

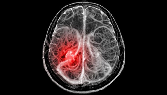
Glioblastoma is a type of glioma, (formerly known as glioblastoma multiforme or GBM). This is an aggressive cancer that begins in the brain or spinal cord and grows quickly. Although rare, glioblastoma is the most common malignant brain tumor in adults, making up nearly half of all cancerous brain tumors. Over 13,000 Americans are diagnosed with glioblastoma every year.

Without treatment, glioblastoma can lead to death within six months, highlighting the importance of early diagnosis and treatment.

What Causes Glioblastoma?

Glioblastoma is caused by changes, or mutations, in the DNA of cells in the brain or spinal cord. DNA contains instructions that guide cells on how to grow, multiply, and die. In healthy cells, these instructions regulate cell activity to maintain balance. However, in glioblastoma, DNA mutations cause cells to multiply uncontrollably and avoid dying when they should.

As these abnormal cells grow, they form a tumor. This tumor can press on nearby nerves and brain or spinal cord tissue, leading to symptoms and complications. Over time, the tumor may invade and damage healthy tissue.

Learn more about Brigham and Women's Hospital


For over a century, a leader in patient care, medical education and research, with expertise in virtually every specialty of medicine and surgery.

About BWH