Header Skipped.
The service is fully digital and integrated with thoracic surgery and pulmonary medicine.
Patient has hypoplastic right lung and anomalous pulmonary venous return to the hepatic veins. Note the anomalous vein extending form the right hilum down to the diaphragm.
MIP (maximum intensity projection image) and color enhanced volume rendered image of a 25 year old woman with panacinar emphysema. Note the paucity of vascularity in the lower lobes on the MIP images. The blue areas in the lower lobes are the emphysematous areas while the pink areas are the normal lung.
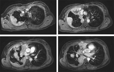
Four 3D Gradient echo images on a middle aged man who presented with circumferential pleural metastases from an invasive thymoma.
When it comes to lung cancer, the earlier the detection, the better the prognosis. Studies have shown that patients at increased risk who were screened with low dose CT (LDCT) rather than a chest X-ray, had 20 percent fewer deaths from lung cancer. Brigham Imaging screens high-risk patients for lung cancer screening at multiple locations using low-dose CT.
For over a century, a leader in patient care, medical education and research, with expertise in virtually every specialty of medicine and surgery.